
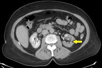
Acute renal infarction most often causes flank pain associated with nausea, vomiting, abdominal pain and, less frequently, fever.

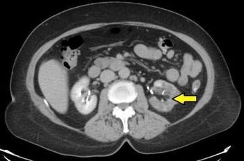
Acute renal infarction most often causes flank pain associated with nausea, vomiting, abdominal pain and, less frequently, fever.

Published: May 15th 2013 | Updated: