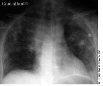
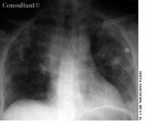
Progressive DyspneaByDeepa Vasudevan, MD,Trevor R. Allison, MDSeptember 14th 2005A 37-year-old woman presented with progressive dyspnea of 2 weeks' duration, a low-grade fever, and night sweats. She had been a healthy marathon runner until her exercise tolerance recently declined.