
"Keep calm and carry on" suggests a thoughtful gastroenterologist whose patients continue to ask for reassurance.

"Keep calm and carry on" suggests a thoughtful gastroenterologist whose patients continue to ask for reassurance.

What 2 interventions do you think were found the most effective in a recent comprehensive meta-analysis?

When should you test for Helicobacter pylori? For what conditions is H pylori a risk factor? And one more question, here.

A 25-year-old man presents with progressive dysphagia to solids. You order an upper endoscopy. What do the results tell you?

Our short case-study quiz will test your recall of current standard of care for EoE.

If hepatology is your strong suit, you should do well on this short quiz.

Authors of a new study used data mining techniques to examine the risk associated with PPI use outside of high-risk cohorts.

For a young man with eosinophilic esophagitis, which potential allergen is most likely the cause of his symptoms?

Cystic pancreatic lesions fall into several categories. Some are indolent and can be followed; others are precancerous.

Portal vein thrombosis is often an ominous sign. What next for this patient with HCV cirrhosis?

Psychological stress increased the risk for peptic ulcer regardless of H pylori status or NSAID use, according to results of a new study.

There are several “do-it-yourself” colon cancer screening tests available. But do any of them approximate the sensitivity of the gold standard colonoscopy?

Is a surveillance interval of 1 year, 3 years, 5, or 10 years recommended?

These endoscopic findings help explain worsening dysphagia in a 32-year-old man. Esophageal biopsies prove positive for eosinophilia. How would you proceed?

For many obese adults, diet and exercise are not enough to achieve durable weight loss. Three drugs are approved in the US as adjunctive therapy for obesity management. Weigh in with what you know with answers to these 3 questions.

The incidental finding was noted during screening endoscopy for Barrett's esophagus. Can you answer these 3 questions on next steps and management of the case.

Stool transplant for C. difficile infection is becoming more popular. But, is the cure rate really 90%?

Could repeated episodes of vomiting in this young woman be related to ingestion of a drug?

For the past year, the patient has had episodes of severe nausea, vomiting, headache, and abdominal pain separated by weeks of feeling quite well.

What would your diagnosis be in this young man and how would that inform your next step?

Does this patient need IV PPI, pRBCs, or maybe TLC for now?

Intermittent blurred vision and palpitations in a young woman often improve after juice. She does not have DM. One day, she arrives at the ED after a seizure. Head CT is negative. What’s next?

Diet and medication can be used to manage symptoms of insulinoma. Once the lesion is well localized, resection is curative.

A 28-year-old man reports pain on swallowing of a week's duration. He is otherwise in good health. Upper endoscopy and tissue biopsy reveal the cause. What do you see?

The most frequently encountered cause of infection of the esophagus is Candida. Among viral causes HSV is the most common, followed by CMV.

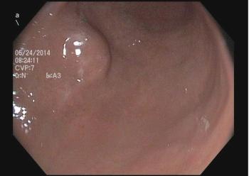
Test your knowledge of this GI finding with questions on diagnosis, laboratory screening, and removal.

For carcinoid tumors of the GI tract, the rate of metastasis is related to size. Small tumors may be resected endoscopically but lesions 1 cm or larger require surgical resection.

Many caveats govern the management of hepatitis B during pregnancy. Do you know which antiviral drugs are classified as pregnancy category B?

No gallstones were found on RUQ ultrasound in this 45-year-old patient, but a polyp was seen. How would you proceed?

Some patients with upper GI bleeding can be sent home after endoscopy; others require extended treatment and inpatient observation.

Published: February 12th 2014 | Updated:

Published: February 18th 2014 | Updated:

Published: February 18th 2014 | Updated:

Published: July 31st 2014 | Updated:

Published: July 31st 2014 | Updated:

Published: September 16th 2014 | Updated: