
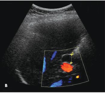
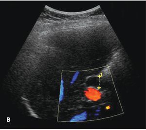
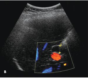
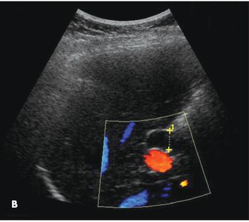
A 60-year-old woman with a 3-month history of progressively worsening epigastric pain was referred for elective cholecystectomy after ultrasonography showed findings consistent with chronic cholecystitis (A and B). The patient reported having postprandial abdominal discomfort since 4 years of age. She also had occasional nausea and vomiting but denied jaundice, change in bowel habits, or urinary symptoms.


