
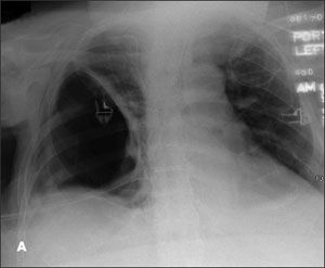
For 3 months, a 63-year-old man had experienced progressively worsening dyspnea. He denied fever, weight loss, and hemoptysis. Eight months earlier, he had had a right thoracotomy to drain a right empyema. Comorbidities included morbid obesity, type 2 diabetes mellitus, hypertension, and obstructive sleep apnea. However, he did not have any intrinsic lung disease.


