
The effect of vagus nerve stimulation persons with narcolepsy revealed a specific, notable improvement in daytime sleepiness in a novel open-label study.

The effect of vagus nerve stimulation persons with narcolepsy revealed a specific, notable improvement in daytime sleepiness in a novel open-label study.

The Alzheimer's Association chief science officer discusses release of updated diagnostic guidelines for AD, which incorporate use of plasma-based biomarkers.

Howard Fillit, MD, cofounder/chief scientific officer of the Alzheimer Drug Discovery Foundation, says lecenumab's approval opens the door for future drug development.

To be marketed as Rizafilm, the product is a disintegrating film formulation of the 5-HT-1 receptor antagonist and proven bioequivalent to Merck's Maxalt-MLT.

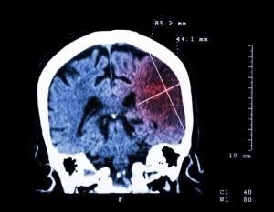
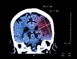
The magnitude of the association with age did not change, however, for other stroke risk factors, including smoking, atrial fibrillation, and LVH, investigators report.

Published: February 16th 2023 | Updated:

Published: July 17th 2023 | Updated:

Published: July 28th 2023 | Updated: