Jason Kittler, MD, PhD, JD

Articles by Jason Kittler, MD, PhD, JD

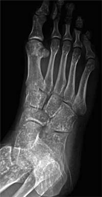
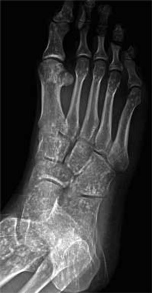
A 21-year-old man presented for evaluation after he sprained his right ankle while hiking. Radiographs of the ankle showed no fractures but revealed diffuse sclerotic lesions in most of the visualized bones.

Latest Updated Articles