
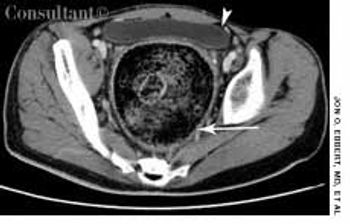
A 31-year-old man with a history of traumatic brain injury was hospitalized because of failure to thrive, constipation, and intermittent diarrhea with soiling.

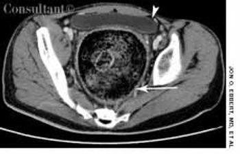
A 31-year-old man with a history of traumatic brain injury was hospitalized because of failure to thrive, constipation, and intermittent diarrhea with soiling.

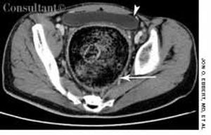
A 31-year-old man with a history of traumatic brain injury was hospitalized because of failure to thrive, constipation, and intermittent diarrhea with soiling.

Published: September 14th 2005 | Updated:

Published: December 2nd 2004 | Updated: