Articles by Kurt Demel, MD

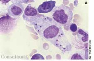
After 5 weeks of undulating fever, weight loss, and night sweats, a 22-year-old man presented to the emergency department. He reported no significant medical history. The patient had recently completed a course of tetracycline followed by another of azithromycin for a presumed upper respiratory tract infection.

After 5 weeks of undulating fever, weight loss, and night sweats, a 22-year-old man presented to the emergency department. He reported no significant medical history. The patient had recently completed a course of tetracycline followed by another of azithromycin for a presumed upper respiratory tract infection.