Luis Taylor, MD

Articles by Luis Taylor, MD

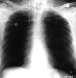
A 67-year-old woman, who had hypertension and chronic obstructive pulmonary disease, presented to the emergency department with mild abdominal discomfort and shortness of breath.

Latest Updated Articles