
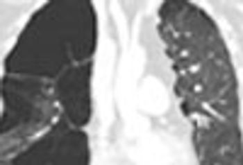
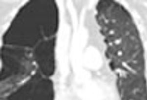
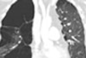
A 54-year-old man presented to the ED with palpitations identified as atrial flutter and RVR. Medical history included stage IV renal-cell carcinoma, end-stage COPD, NYHA class IV heart failure, and recent pulmonary embolism. A CT scan of the thorax was ordered.


