
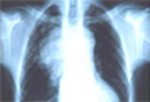
A 71-year-old man was admitted to the MICU for weaning from mechanical ventilation. The history revealed a global decline over the previous 3 to 4 weeks predominated by cognitive impairment, mood swings, somnolence, and limb weakness. No respiratory symptoms were noted.


