
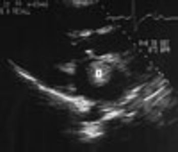
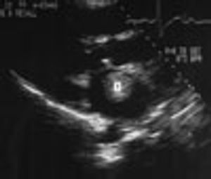
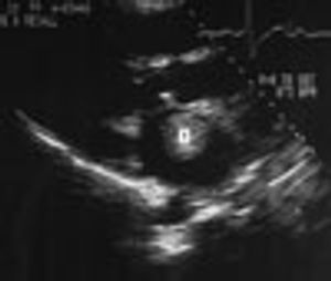
A 72-year-old man with a history of rheumatic heart disease presented with pulmonary congestion and syncope. Results of the cardiac examination suggested mitral stenosis and atrial fibrillation with a controlled ventricular response. Two-dimensional echocardi-ography revealed a large, free-floating ball thrombus (T) in the dilated left atrium and demonstrated rheumatic and severely stenotic mitral valve leaflets.




