
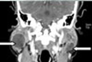
Lymphoepithelial cysts of the parotid gland may be diagnostic of HIV infection; they are typically bilateral, benign, and associated with lymphadenopathy.

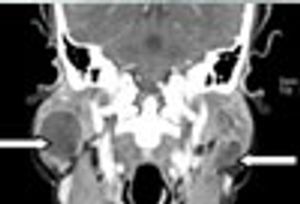
Lymphoepithelial cysts of the parotid gland may be diagnostic of HIV infection; they are typically bilateral, benign, and associated with lymphadenopathy.

Published: October 27th 2012 | Updated: