
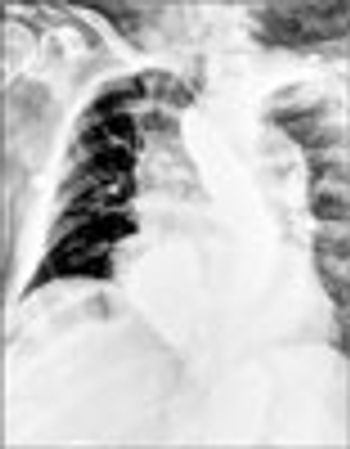
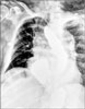
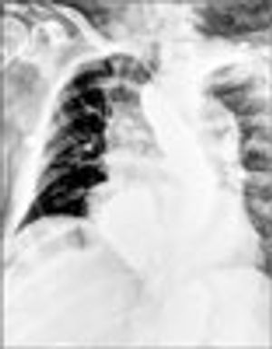
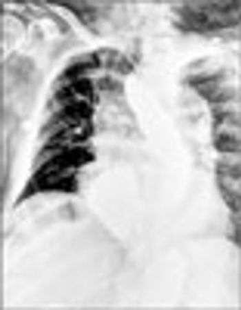
Increasingly severe dysphagia had bothered a 77-year-old woman for several months. By the time she sought medical attention, both food and liquids were sticking in the lower esophagus, leading to vomiting and weight loss.

Published: August 2nd 2008 | Updated: