
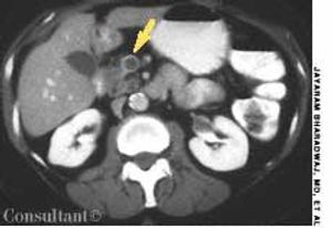
A 65-year-old woman with metastatic adenocarcinoma of the colon was undergoing chemotherapy following a colectomy and a hepatic wedge resection. The physical examination and laboratory data were unremarkable.

A 65-year-old woman with metastatic adenocarcinoma of the colon was undergoing chemotherapy following a colectomy and a hepatic wedge resection. The physical examination and laboratory data were unremarkable.

Published: September 14th 2005 | Updated: