
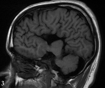
A rare finding is a timely lesson for all clinicians who are touched in one way or another by the injectable drug crisis in the US.

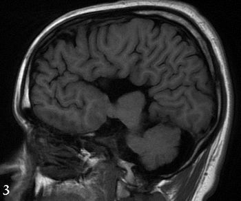
A rare finding is a timely lesson for all clinicians who are touched in one way or another by the injectable drug crisis in the US.

Published: June 6th 2017 | Updated: