
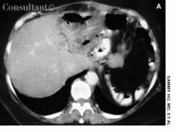
Three weeks after undergoing gastric bypass surgery for obesity, a 64-year-old woman presented with fatigue, chills, and abdominal pain of 2 days' duration. She denied shortness of breath, nausea, vomiting, changes in bowel habits, melena, and hematochezia. The patient had no significant past medical history.


