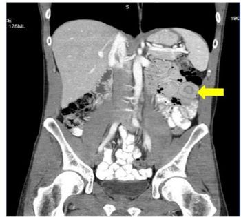
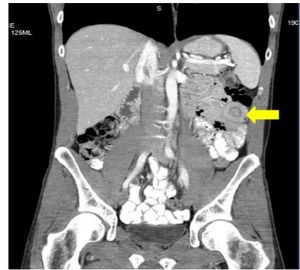
Intussusception in the Adult Patient: Rare, Ominous BySean Sims, PA-C,Jennifer Bell, PA-CJanuary 11th 2016Most adult intussusceptions are caused by structural lesions, lead points for many of which are malignant neoplasms.
FOOSH Injury of the ElbowBySean Sims, PA-C,Curtis Grenoble, PA-CAugust 17th 2012FOOSH injuries associated with acute onset of pain at the elbow suggest fracture of the radial head, proximal ulna, or humeral condyle or soft tissue injury.