
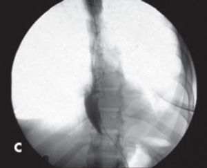
The development of a standardized treatment that simultaneously addresses achalasia and obesity is becoming more imperative as obesity becomes epidemic in the US. Here’s a case in point.

The development of a standardized treatment that simultaneously addresses achalasia and obesity is becoming more imperative as obesity becomes epidemic in the US. Here’s a case in point.

Published: April 15th 2015 | Updated: