Ovarian Hyperstimulation SyndromeByVini Bapna, MDJuly 24th 2015With assisted reproduction widespread, all physicians, including primary care providers, should be familiar with presenting symptoms of OHSS.
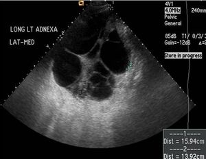
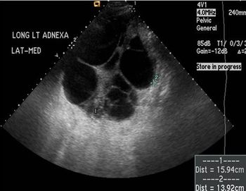
Constant Dull Abdominal Pain in a 35-year-old WomanByVini Bapna, MDJuly 24th 2015The woman reported no other abdominal or gastrointestinal symptoms; menses were regular; a pregnancy test was negative. What next?