
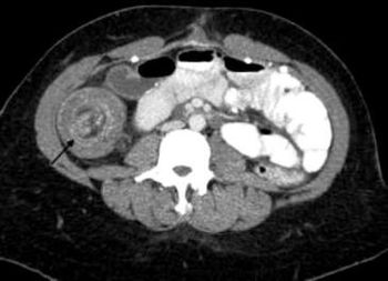
Adult intussusception is a rare entity, accounting only for 1% to 5% of cases of bowel obstruction.

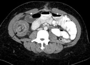
Adult intussusception is a rare entity, accounting only for 1% to 5% of cases of bowel obstruction.

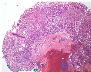
Fundic gland polyps are the most common form of gastric polyps. Giant FGPs, however, are extremely rare.

Published: October 1st 2013 | Updated:

Published: October 15th 2013 | Updated: