News
All NewsEditorial PodcastsPractice ManagementVideo Interviews
Media
Clinical Forum InsightsConsultantLiveCure ConnectionsMedcastPeer ExchangePeers & PerspectivesProvider ToolkitsScreening Series
Conferences
Conference CoverageConference ListingProduct Theater Recaps
Resources
Interactive PostersProduct ProfilePublicationsSponsored ResourcesSponsored Videos
More
CE/CME

Subscribe

  • News
  • Media
  • Conferences
  • Resources
  • Subscribe
  • CE/CME
  • Adult Immunization
  • Allergy
    • Food Allergies
    • Anaphylaxis
    • Seasonal Allergies
  • Cardiology
    • Heart Failure
    • Atrial Fibrillation
    • Lipid disorders
    • Hypertension
  • Clinical Technology
  • Dermatology
    • Psoriasis
    • Acne
    • Rosacea
    • Atopic Dermatitis
    • Hidradenitis suppurativa
  • Endocrinology
    • Adrenal Disorders
    • Thyroid Disorders
    • Diabetes
  • Gastroenterology
    • GERD
    • C Difficile Infection
    • Celiac disease
    • Irritable Bowel Syndrome
    • Inflammatory Bowel Disease
  • Hepatology
    • MASLD/MASH
    • Hepatitis
  • Infectious Disease
    • Coronavirus
    • RSV
    • Hepatitis C
    • Influenza
    • HIV AIDS
    • HPV
    • Pneumonia
    • Sexually transmitted infections
  • Nephrology
    • Chronic Kidney Disease
  • Neurology
    • Epilepsy
    • Cerebrovascular Diseases
    • Parkinson Disease
    • Alzheimer Disease/Dementia
    • Mental Health
    • Headache
    • Migraine
    • Sleep Disorders
  • Obesity Medicine
  • Pain Management
    • Fibromyalgia
  • Pediatric Immunization
  • Pediatrics
  • Psychiatry
    • PTSD
    • Psychosis
    • Panic Disorder
    • Anxiety
    • Eating Disorders
    • Depression
    • Substance-related Disorders
    • ADHD
  • Pulmonology
    • Pulmonary hypertension
    • Interstitial lung disease
    • Asthma
    • Cystic Fibrosis
    • COPD
  • Rheumatology
    • Psoriatic arthritis
    • Lupus
    • Rheumatoid Arthritis
    • Osteoarthritis
    • Gout
  • Screening
    • Colorectal Cancer
    • Renal Cancer
    • Lung Cancer
    • Melanoma
    • Skin cancer
    • Prostate Cancer
    • Breast Cancer
    • Cervical Cancer
  • Women's Health
    • Osteoporosis
    • Menopause
    • Pregnancy and Birth
Spotlight -
VMS and Menopause|
Atopic Dermatitis Provider Toolkit|
Adult Immunization Provider Toolkit|
Dermatology Hot Topics
Advertisement

Amer Alkhatib, MD

Advertisement

Articles by Amer Alkhatib, MD

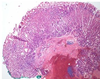
Giant Fundic Gland Polyp

ByAla' A Abdel Jalil, MD,Amer Alkhatib, MD
October 1st 2013

Fundic gland polyps are the most common form of gastric polyps. Giant FGPs, however, are extremely rare.

Advertisement

Latest Updated Articles

  • Giant Fundic Gland Polyp
    Giant Fundic Gland Polyp

    Published: October 1st 2013 | Updated:



Advertisement
Advertisement

Trending on Patient Care Online

1

Topline Phase 2 Data Show Roflumilast Cream Improves Atopic Dermatitis in Infants as Young as 3 Months

2

First Oral Film Treatment for Erectile Dysfunction in Men Gains FDA Approval

3

Weekly Dose Podcast: New Obesity Data, Insulin Guidance, and Mental Health Screening

4

Long-Term Data Support Sustained Bimekizumab Response in Hidradenitis Suppurativa

5

Icotrokinra Outperforms Advanced Oral Psoriasis Treatments, Matches IL-23 Injectables in Achieving Complete Skin Clearance: Maui Derm 2026

  • About Us
  • Advertise
  • Contact Us
  • Editorial Board
  • Terms and Conditions
  • Privacy
  • Do Not Sell My Information
Contact Info

259 Prospect Plains Rd, Bldg H
Cranbury, NJ 08512

609-716-7777

Brand Logo

© 2025 MJH Life Sciences®

All rights reserved.

Home
About Us
News
Contact Us