
BRBNS is a rare GI disorder characterized by distinctive cutaneous and GI venous malformations that can lead to occult or massive GI bleeding.

BRBNS is a rare GI disorder characterized by distinctive cutaneous and GI venous malformations that can lead to occult or massive GI bleeding.

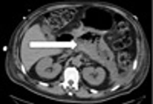
Emphysematous pancreatitis is a rare form of necrotizing pancreatitis. Free air within the pancreatic parenchyma is typically attributed to infection.

EoE is a chronic, immune/antigen-mediated esophageal disease. Clinical symptoms reflect esophageal dysfunction; histology is characterized by eosinophil-predominant inflammation.

Published: November 27th 2012 | Updated:

Published: January 29th 2013 | Updated:

Published: September 11th 2013 | Updated: