
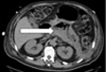
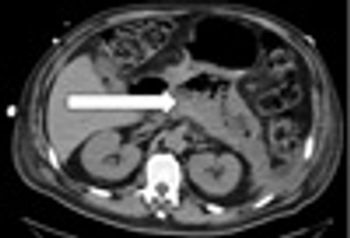
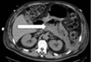
Emphysematous pancreatitis is a rare form of necrotizing pancreatitis. Free air within the pancreatic parenchyma is typically attributed to infection.

Emphysematous pancreatitis is a rare form of necrotizing pancreatitis. Free air within the pancreatic parenchyma is typically attributed to infection.

Published: January 29th 2013 | Updated: