
Although widely regarded as a raredisorder, hereditary hemochromatosisis the most common genetic disease inCaucasians. In certain populations ofnorthern European descent, 1 of every200 persons is homozygous for thecausative mutation.1

Although widely regarded as a raredisorder, hereditary hemochromatosisis the most common genetic disease inCaucasians. In certain populations ofnorthern European descent, 1 of every200 persons is homozygous for thecausative mutation.1

Pressure ulcers occur frequently in elderly, hospice, and spinal cord injury patients. They affect 5% to 10% of patients in all health care facilities and add substantially to health care expenses.

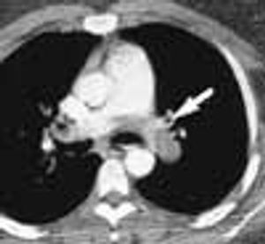
For 2 months, a 31-year-old woman had had dyspnea and dull, continuous retrosternal pain. She was admitted to the hospital, and a helical CT scan of the thorax identified a saddle pulmonary embolism. An ultrasonogram revealed deep venous thrombosis (DVT) in the left leg. Intravenous heparin was given; the patient was discharged, and warfarin was prescribed.

An 83-year-old woman-who had not visited a physician for 20 years-presented to the emergency department with a 1-day history of urinary retention and a 1-month history of gross vaginal bleeding. The mass on the left side of her face was a secondary finding.

For 2 months, a 31-year-old woman had had dyspnea anddull, continuous retrosternal pain. She was admitted to thehospital, and a helical CT scan of the thorax identified asaddle pulmonary embolism. An ultrasonogram revealeddeep venous thrombosis (DVT) in the left leg. Intravenousheparin was given; the patient was discharged,and warfarin was prescribed.

Published: February 1st 2006 | Updated:

Published: September 14th 2005 | Updated:

Published: June 1st 2002 | Updated:

Published: February 1st 2006 | Updated:

Published: September 14th 2005 | Updated: