Articles by Kamran Zakaria, MD

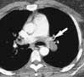
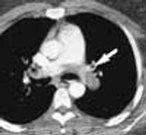
For 2 months, a 31-year-old woman had had dyspnea and dull, continuous retrosternal pain. She was admitted to the hospital, and a helical CT scan of the thorax identified a saddle pulmonary embolism. An ultrasonogram revealed deep venous thrombosis (DVT) in the left leg. Intravenous heparin was given; the patient was discharged, and warfarin was prescribed.

For 2 months, a 31-year-old woman had had dyspnea anddull, continuous retrosternal pain. She was admitted to thehospital, and a helical CT scan of the thorax identified asaddle pulmonary embolism. An ultrasonogram revealeddeep venous thrombosis (DVT) in the left leg. Intravenousheparin was given; the patient was discharged,and warfarin was prescribed.