
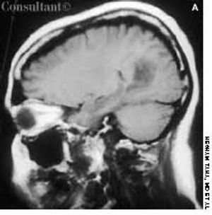
Headache and vomiting suddenly developed in a 41-year-old woman who was 16 weeks pregnant. The next day, she suffered an episode of tonic-clonic seizures associated with a 15-minute loss of consciousness.

Headache and vomiting suddenly developed in a 41-year-old woman who was 16 weeks pregnant. The next day, she suffered an episode of tonic-clonic seizures associated with a 15-minute loss of consciousness.

Published: September 14th 2005 | Updated: