
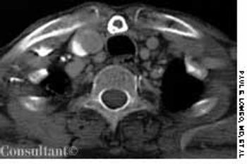
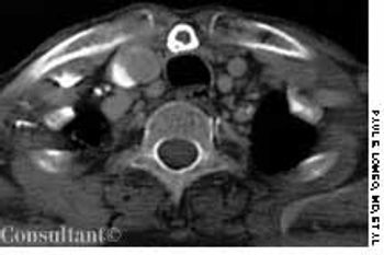
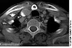
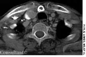
An 87-year-old woman was referred for a newly discovered neck mass. She denied any history of neck mass, dysphagia, odynophagia, stridor, shortness of breath, or globus sensation. She had experienced no change in voice.

Published: September 14th 2005 | Updated: