
On a tropical vacation, a woman develops a severe pruritic rash after being bitten on the hand by an insect. Can you name the bug?

On a tropical vacation, a woman develops a severe pruritic rash after being bitten on the hand by an insect. Can you name the bug?

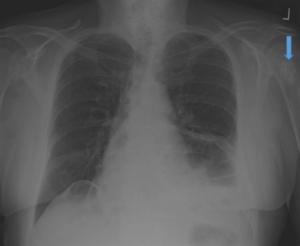
Chest x-ray in an older man confirmed a diagnosis of pneumonia but revealed an asymptomatic lesion in the left humerus. What is in the differential?

Published: March 28th 2016 | Updated:

Published: March 15th 2017 | Updated: