
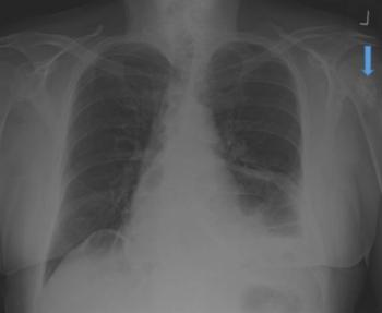
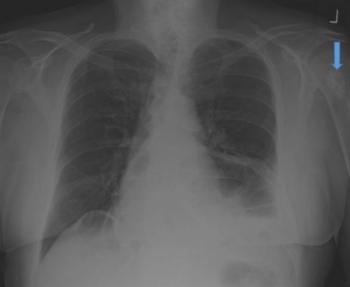
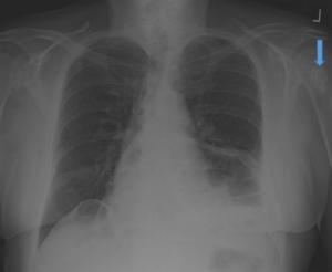
Chest x-ray in an older man confirmed a diagnosis of pneumonia but revealed an asymptomatic lesion in the left humerus. What is in the differential?

Chest x-ray in an older man confirmed a diagnosis of pneumonia but revealed an asymptomatic lesion in the left humerus. What is in the differential?

Published: March 28th 2016 | Updated: