
"I'm having trouble catching my breath." "I can't pay for my inhaler." "I'm just so sad." They may not tell us, so we need to ask. Here's my experience.

"I'm having trouble catching my breath." "I can't pay for my inhaler." "I'm just so sad." They may not tell us, so we need to ask. Here's my experience.

Pulmonologist Jonathan Ilowite, MD, answers 5 of the many common questions he fields about COPD exacerbations and how to manage them.

Try these 5 questions written by a pulmonologist and based on updates to the GOLD guidelines on how to classify and manage COPD.

Beth is age 52, smokes 2 packs of cigarettes a day, gets breathless in cold weather, and has had "bronchitis" twice this year. What's your diagnosis?

"Cindy" says she's using her albuterol inhaler up to 6 times a day, but her asthma is worse. A pulmonologist poses 4 questions that can lead to preferred Rx.

Dorothy is 55-years-old, has never smoked, and was well until 1 year ago when she first noticed mild dyspnea on exertion; it has gotten progressively worse.

A pulmonologist answers some of the most common questions he hears from colleagues and students about COPD exacerbations and their management.

A pulmonologist describes an approach to guide the primary care clinician faced with a patient in whom interstitial lung disease is suspected.


Household bleach may not lead to COPD, as recently reported in the lay press, but a number of respiratory dangers are present in many US homes.

The mediastinal benign schwannomas is a nerve sheath tumor composed of Schwann cells. These tumors are often asymptomatic and found incidentally.

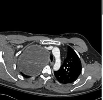
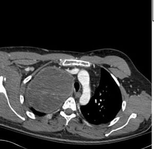
Two weeks after injury to the right chest wall and shoulder, the patient continues to have pain. He also reports numbness and tingling in his hands bilaterally. What do the ED images reveal?


Published: March 12th 2014 | Updated:

Published: April 3rd 2014 | Updated:

Published: April 3rd 2014 | Updated:

Published: November 26th 2017 | Updated:

Published: November 27th 2017 | Updated:

Published: January 1st 2018 | Updated: