
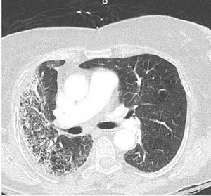
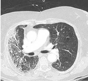
The mediastinal benign schwannomas is a nerve sheath tumor composed of Schwann cells. These tumors are often asymptomatic and found incidentally.

The mediastinal benign schwannomas is a nerve sheath tumor composed of Schwann cells. These tumors are often asymptomatic and found incidentally.

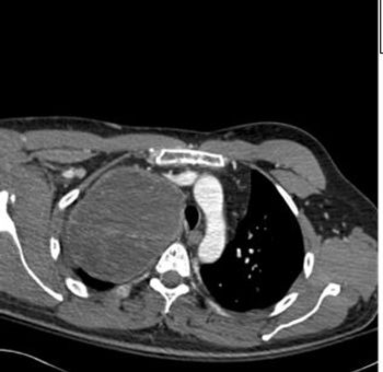
Two weeks after injury to the right chest wall and shoulder, the patient continues to have pain. He also reports numbness and tingling in his hands bilaterally. What do the ED images reveal?

Results of a physical examination and CT scan of the chest offer clues to this patient's diagnosis.


Published: January 14th 2014 | Updated:

Published: January 14th 2014 | Updated:

Published: April 3rd 2014 | Updated:

Published: April 3rd 2014 | Updated: