
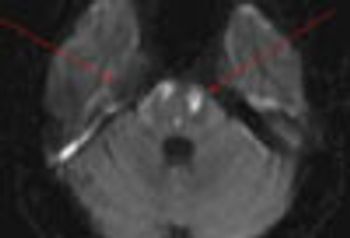
Brain infarcts among crack cocaine users may be secondary to large cerebral artery vasospasm with secondary intravascular thrombosis (with or without distal embolization).

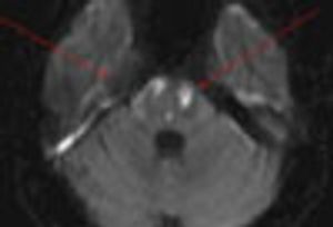
Brain infarcts among crack cocaine users may be secondary to large cerebral artery vasospasm with secondary intravascular thrombosis (with or without distal embolization).

Published: July 25th 2013 | Updated: