
In its classic form, ALS affects motor neurons at 2 or more levels supplying multiple regions of the body.

In its classic form, ALS affects motor neurons at 2 or more levels supplying multiple regions of the body.

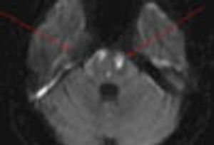
Brain infarcts among crack cocaine users may be secondary to large cerebral artery vasospasm with secondary intravascular thrombosis (with or without distal embolization).

This is a case in which we believe vancomycin and piperacillin/tazobactam caused DIHS with lung involvement in form of bilateral pleural effusions, a very rare presentation.

A large minority of persons with HIV infection have head and neck symptoms; parotid swellings have been noted in approximately 5% to 10% of patients with HIV-1 infection.

Published: October 1st 2013 | Updated:

Published: July 25th 2013 | Updated:

Published: January 16th 2013 | Updated:

Published: September 27th 2012 | Updated: