
Results of two recent studies suggest that perioperative "bridge" anticoagulation may do more harm than good in some patients.

Results of two recent studies suggest that perioperative "bridge" anticoagulation may do more harm than good in some patients.

Data from a recent study suggest that paroxysmal AF may be underdiagnosed in patients with heart failure and preserved ejection fraction.

The anticoagulant reversal agent idarucizumab was approved as the antidote to dabigatran via the FDA's accelerated approval program.

Results of the BELIEF study presented at ESC 2015 suggest the adjunctive ablation procedure may enhance long-term rhythm control.

The first results from the largest ongoing international registry of newly diagnosed AF patients were long awaited, and worth the wait.

What if you could test the fit and function of a cardiac device in an exact replica of your patient's heart and head off complications before you start?

Paroxysmal atrial fibrillation is a first and only dx for some patients; for others it is just the beginning. What do you know about AF progression?

Take a short break from the clinic and try 2 quick questions about the injectable gut hormone analogs.

Incretin mimetic therapy for type 2 diabetes has been on the market for more than 10 years. Find out what you've learned about the GLP-1 agonists, here.

A recent literature analysis found a 10% to 29% excess risk for AF conferred by incremental increases in BMI. The study in 9 slides, here.

Is new-onset AF linked to an acute precipitant less likely to recur than spontaneous AF? Is it any less dangerous? A new study finds answers in Framingham data.


There is a razor edge differential between pharmacologic thrombus prevention and risk for excessive bleeding during procedures for AF. More guidance from a new study.

The ADA recommends GLP-1 agonists as second-line therapy against type 2 diabetes. What makes this class unique in its impact on hyperglycemia?

Guidelines say “no” to anticoagulation for young, otherwise healthy persons with atrial fibrillation. New research finds that clinical practice looks quite different.

No monitoring necessary; don't use them before electrical cardioversion; and count them out for periprocedural use during AF ablation. Really?

Ablation therapy may be an option for these two patients with heart disease. What is your recommendation? And, does the evidence support it?


What does the patient with atrial fibrillation who would benefit from oral anticoagulation look like today? Q & A, here.

Results of the LEGACY study show long-term weight loss decreases AF burden and supports sustained sinus rhythm. A short slide show summarizes the 2015 ACC late-breaking abstract.

A small study highlights a big point: manage risk factors that affect the atrial fibrillation substrate and ablation therapy success rates improve (ARREST-AF Cohort Study).

What is your command of the components of this risk prediction tool for patients with atrial fibrillation? Find out with our 4-question quiz.

The absence of an antidote may soon disappear as a reason to avoid prescribing a novel oral anticoagulant to patients with atrial fibrillation, based on promising phase III trial results.

When is a rhythm control strategy appropriate? Which patients are candidates for amiodarone? When is AF ablation the answer? Here, a top-line review of rhythm control for atrial fibrillation.

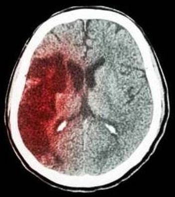
The risk for major bleeding and GI hemorrhage in patients taking dabigatran was greater than in those taking warfarin; warfarin, however, was associated with a greater risk of intracranial hemorrhage.

In analysis of this randomized controlled trial of apixaban vs warfarin for nonvalvular atrial fibrillation, there was an increased risk of stroke and systemic embolism among patients taking amiodarone and warfarin.

Overall it looks as though pharmacologic rate control is still the preferred therapy for new onset AF, but a new study identifies some interesting trends in the use of drugs for both rhythm and rate.

Atrial fibrillation and dementia have long been linked, partly because both tend to affect the elderly. But there may be a causal link as well related to management of anticoagulation.

The recent AFFORD trial suggests no clinical role for omega-3 fatty acids in preventing atrial fibrillation or in modulating disease markers.

A new study finds that iPhone-based technology deployed in local pharmacies can detect asymptomatic atrial fibrillation. iECG anyone?