
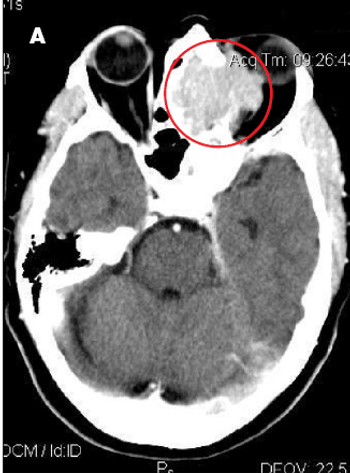
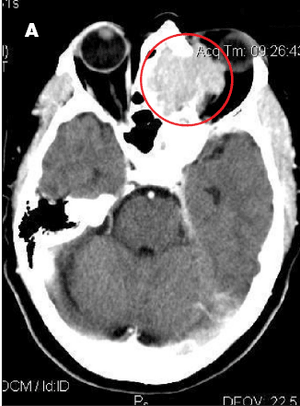
Progressively worsening nasal congestion and headaches with diplopia and left proptosis for 2 months prompted an ophthalmology consultation for a 67-year-old woman. She had been evaluated multiple times for allergic rhinitis and recurrent sinusitis.

Published: September 11th 2009 | Updated: