
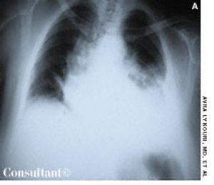
Traumatic hemothorax usually results from penetrating or contused thoracic injuries that lead to rib fracture and damage of intercostal or pulmonary vessels. Hemorrhagic shock can occur with massive blood loss into the pleural space. The shock state may be exacerbated by decreased venous return.


