
Dr Farris Timimi, Assistant Professor of Medicine at the Mayo Clinic and Medical Director of the Mayo Clinic Center for Social Media, discusses the potential of social media to change the landscape of clinical practice.

Dr Farris Timimi, Assistant Professor of Medicine at the Mayo Clinic and Medical Director of the Mayo Clinic Center for Social Media, discusses the potential of social media to change the landscape of clinical practice.

A definitive gout diagnosis is based on demonstration of monosodium urate crystals on aspiration of an affected joint or tophus.

Are retinal hemorrhages in an infant always the result of abuse?

Pre-exposure prophylaxis (PrEP) against the risk of HIV infection is now approved by the FDA, supported by three randomized trials. But its use is controversial. What are the implications for primary care?
A biopsy confirmed that the white mucosal discoloration and scattered small erosions were the result of lichen planus. Eradication may be attempted with potent topical steroids or oral steroids.

In this podcast, the chair of the International Antiviral Society USA tells why it now advises immediate antiretroviral treatment for everyone diagnosed with HIV infection.

The devastating effects of inflammation from HIV infection were a focus at the recent international AIDS Congress.

FOOSH injuries associated with acute onset of pain at the elbow suggest fracture of the radial head, proximal ulna, or humeral condyle or soft tissue injury.


Purine-rich foods have now been fingered as perpetrating acute gout attacks as well as chronic gout. A pair of French rheumatologists propose that we may be focusing on the wrong dietary component.



Dr Payal Kohli, a recent graduate of the Harvard Medical School, is currently a fellow in cardiovascular medicine at the University of California San Francisco.

Far too many HIV-positive patients get that bad news after their very first HIV test, nationwide data show. Hear a CDC expert tell why primary care doctors are key to improving HIV testing rates and saving lives.

Sudden cardiac death is the second largest killer of HIV-positive patients, who are also prone to other cardiovascular risk factors. Compared to others, they tend to miss out on both detection and intervention.

Could this insect be responsible for the recent appearance of multiple itchy papules on the feet and lower legs of a woman who brought in some “bugs” wrapped in a bandana? More details here.

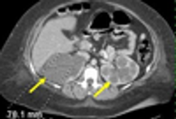
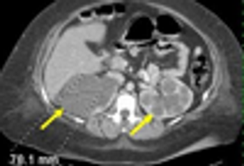
Autosomal dominant polycystic kidney disease (ADPKD) is common. Presenting symtpoms include hypertension, hematuria, proteinuria, and renal insufficiency.

In a landmark decision, the Supreme Court upheld the Patient Protection and Affordable Care Act enacted by Congress in 2010. What does this mean for primary care?

Does an Achille’s tendon rupture, tendonitis, bursitis, or something else underlie sudden heel and lower leg pain? What's your diagnosis? Find more details here.