
To increase the cooperation of preschool children during an otic examination, try playing the “magic flashlight” game

To increase the cooperation of preschool children during an otic examination, try playing the “magic flashlight” game

A 61–year–old man presented to the emergency department with diffuse lower abdominal pain, nausea, and severe diarrhea (20 episodes within the past 12 hours). His symptoms began the night before and had gradually worsened. He denied fever. His medical history was significant for hypertension.

The purple-stained urine bags and tubing of 2 elderly patients are shown here. Neither patient received urine-discoloring medications.

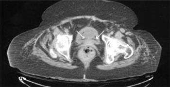
A 77-year-old woman with hypertension, diabetes mellitus with neuropathy and nephropathy, coronary artery disease, and previous stroke with residual right hemiparesis was hospitalized because of abdominal pain, nausea, and vomiting of sudden onset. She also reported subjective fever, dysuria, and foul-smelling urine.

Case studies of athletes with isolated axillary neuropathy provide an overview of this injury's anatomy and function, which are key to definitive diagnosis and appropriate treatment.

Human infections with a novel influenza A (H1N1) virus were first identified in April 2009, with cases in the United States and Mexico. The epidemiology and clinical presentations of these infections are under investigation.

The results of a meta-analysis indicate that intensive glycemic control significantly reduces the risk of coronary events in patients with type 2 diabetes mellitus. The meta-analysis, conducted by Ray and colleagues,1 included 5 randomized controlled trials that compared intensive with standard glucose-lowering regimens in more than 33,000 patients. The general treatment protocols are shown in the Table.

Since the 2006 launch of the Medicare Part D prescription drug benefit, the Centers for Medicare & Medicaid Services (CMS) has required all Part D sponsors, including Health Net, to offer free medication therapy management program (MTMP) services to members at high risk for drug-related problems.

Many women who are taking antidepressants discontinue therapy during pregnancy because of safety concerns. However, a study conducted in Canada demonstrates that the costs of discontinuing antidepressants are considerable. O’Brien and colleagues1 analyzed the direct medical costs associated with the discontinuation of antidepressant therapy in pregnant women in Ontario. They estimated that a relapse of depression occurred annually in about 2953 pregnant women who discontinued antidepressant therapy.

I hear from my physician friends that the “hassle factor” to obtain health plan coverage of prescribed therapy is increasing exponentially and that many of them are thinking of retiring or cutting back their practices. That is my experience and reaction as well.

As the number of biologic agents for rheumatoid arthritis (RA)-and rheumatologists’ use of these agents for RA and other rheumatological diseases-grows, getting coverage for RA treatment is taking an increasing investment of physicians’ staff time. However, the majority of respondents to a recent survey say it is an investment in patient care that is worth making.

Health care–associated pneumonia (HCAP) is a relatively new term used to describe pneumonia that develops in patients who have recently been exposed to nosocomial and drug-resistant pathogens as a result of hospitalization or residence in a nursing home, for example. A recent study found that about 25% of patients hospitalized with pneumonia had HCAP, and that the mortality rate was higher in those with HCAP than in those with community-acquired pneumonia (CAP).

The Federal Trade Commission (FTC) is strongly backing the argument that the economy is better off with competing generic drugs. In “Authorized Generics: An Interim Report,” FTC analysts report that when 2 generics are on the market immediately after a patent on a branded drug expires, wholesale prices of the drug are 6.5% lower on average than when only 1 generic is available; retail prices are 4.2% lower on average.

More than 5.5 million US adults, or nearly 2% of the adult population, have some type of paralysis,

Suicidal behavior describes not only death caused by suicide but also intentional, nonfatal, self-injurious acts committed with or without the intent to cause death. Less severe suicidal attempts are particularly characteristic of persons with borderline personality disorder (BPD).

The recent report on an HIV-positive cardiothoracic surgeon in Israel has offered a contemporary perspective on the risks of transmission of HIV in health care settings, specifically surgical settings.

Employees are making changes to improve their health and better control their own health care costs in response to the current recession, according to results of a survey conducted for the National Business Group on Health (NBGH) by Fidelity Consulting Services.

The objective of this study was to estimate the annual cost burden of Parkinson disease (PD) in the United States. Resource use and cost profiles were developed using all-payer statewide hospital discharge data from 6 states; emergency department visit, long-term–care, and national survey data; fee schedules; and published study findings. (Average direct and indirect costs per patient were calculated in 2007 US dollars.) The annual cost per patient was $21,626 (direct cost: $12,491). When applied to the US PD population (N = 500,000), the annual average cost was approximately $10.78 billion (direct costs, $6.22 billion; indirect costs, $4.56 billion). PD has substantial economic consequences for patients and their families, insurers, and society. (Drug Benefit Trends. 2009;21:179-190)

The 2 physicians who now oversee the FDA want the agency to think of itself less as a regulator and more as a part of the nation’s public health apparatus.

Medication spend for workers’ compensation claims continues to increase despite decreases in overall occupational injury rates. Medication costs increased by 5.4% in 2008 following a 3.3% rise in 2007 (Cover Figure), according to findings of the 2009 Annual Drug Trends Report for Workers’ Compensation. The report was compiled and analyzed by PMSI, Tampa, Fla.