
Both of the disorders presented in Cases 1 and 2 typically have the face as the primary site of involvement, and both are benign processes

Both of the disorders presented in Cases 1 and 2 typically have the face as the primary site of involvement, and both are benign processes

Malignant thymoma is an indolent tumor arising from the thymic epithelial cells located in the anterior mediastinum. These tumor cells spread via regional metastasis or invade surrounding structures, including the pleural space.

To obtain a general idea of intestinaltransit time when doing a workupfor chronic constipation or shortbowelsyndrome, I use this simpletest:

Patients with kidney stones areoften sent home with a bulky plasticfilter cup and told to use it to straintheir urine.

Recurrent or persistent vaginal itching is a common problem. If antifungals have not been effective, ask the patient, while she is in the stirrups, to point to the pruritic spot or touch it with her finger.

For versatile, portable heat therapy,have patients run a hand towelunder hot tap water, ring it outslightly, then put it in a large ziplockbag.

Editor’s note: In a recent issue (CONSULTANT, November 2009, page 676), Dr Gregory Rutecki made the case for diagnosing dehydration on the basis of physical findings rather than relying solely on elevated blood urea nitrogen (BUN) and creatinine levels.

A 79-year-old man admitted for mental status changes, with neuroimaging that reveals lacunar brain infarct.

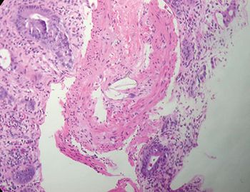
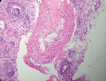
Endobronchial schwannomas are rare and often benign neoplasms that develop from the nerve sheath of the peripheral nervous system.

The authors are affiliated with the University of Mississippi School of Pharmacy, in University, Miss. Dr Yang is assistant professor in the department of pharmacy administration.

A 60-year-old laboratory technician complained of a pruritic rash on and around her left ear. It had appeared a few days earlier, shortly after she cleaned her telephone receiver with a disinfectant. A tentative diagnosis of contact dermatitis was made, and treatment with a hydrocortisone cream was initiated.

Dr Rutecki’s thoughtful note, “Diagnosing Dehydration: What Would Osler Do?” resonated strongly with me.

A 33-year-old man from the Ivory Coast (who had been living in the United States for the past 8 years) received a diagnosis of AIDS when he presented with Pneumocystis jiroveci pneumonia. His CD4+ cell count was 6/µL, and his HIV RNA level was 575,000 copies/mL. He also presented with altered sensorium and seizure activity and was found to have obstructive hydrocephalus and ring-enhancing lesions in both cerebellar hemispheres and basal ganglia. Results of polymerase chain reaction testing of cerebrospinal fluid for Toxoplasma gondii were positive, and treatment for toxoplasmosis was started. A ventricular-peritoneal shunt was placed.

The US House of Representatives and the US Senate versions of the health care reform bill have grown further apart. Although a bill containing a public option has passed in the House, Senate Democrats announced that they have agreed on a package of provisions to replace the public option.

For 1 month, a 60-year-old white man has had increasing fatigue, generalized weakness, and exertional dyspnea. He becomes short of breath after he walks only 100 to 150 yards on level ground or climbs only 1 flight of stairs. In addition, he has unintentionally lost 12 lb in the past month and has experienced intermittent dysphagia with solid foods. He attributes this last symptom to long-standing gastroesophageal reflux disease (GERD), for which he regularly takes over-the-counter omeprazole.

When taking a patient’s sexual history, I find that the question “How many partners do you have?” rarely elicits a complete picture. Instead, I ask, “How many partners have you had in the past 6 months?” This usually reveals when patients have engaged in serial monogamy and creates an environment in which they feel they can disclose one-night stands and sexual activity outside their marriage. The stage is then set for delivering appropriate safe sex messages and screening for sexually transmitted infections.

To help ensure that the annual foot examinations required in patients with diabetes are performed, we have a sign at the front of each examination room that says, “If you have diabetes, please take off your shoes before seeing the provider.” We have also instructed our nurses to ask all patients with diabetes to remove their footwear. These measures have saved physicians time and increased the rates of diabetic foot examinations and neuropathy screenings.

Irrigating a child’s eye to wash out a toxic substance can be difficult. An effective way for a parent to do this is to put the child in the bathtub, turn on the water, and let the water run onto his or her own arm, starting at the elbow and running down to the hand. If the parent then holds his fingers over the child’s eye while gently opening the lid, the water will run down his arm, off the tip of his index finger, and into the child’s slightly opened eye.

The multiple, symmetrically distributed, soft, nontender swellings on the shoulders and torso of a 56-year-old Hispanic man are characteristic of multiple symmetric lipomatosis (MSL), also known as Madelung disease or Launois- Bensaude syndrome.

My interest in mental health began before I was a psychiatrist-it started in a small Central American country where I arrived as a primary care physician in the early years of the Peace Corps.