
The patient is 50 years old and has no family history of colon cancer. Should he have a repeated colonoscopy at 1 year? 5 years? 10 years?

The patient is 50 years old and has no family history of colon cancer. Should he have a repeated colonoscopy at 1 year? 5 years? 10 years?
A 42-year-old woman, who has a family history of non-melanoma skin cancer, is worried about these 2 small yellowish papules on her forehead. Can you identify these lesions?

In the absence of well-defined post-op management, how would you proceed?

Five days after starting a new medication, this lesion appeared on a man’s neck. It slowly resolved after the drug was stopped. Which of these drugs do you suspect might have caused the lesion?
For at least 3 months, this asymptomatic nodule has been slowly growing on a 63-year-old man's finger. What are you looking at here?

This 20-year-old woman has one blue and one brown iris. To what genetic disorder might this finding point?

Potential for infection is everywhere for patients with alcoholic cirrhosis.

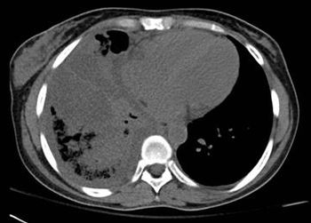
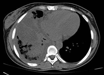
A young woman experienced acute onset of high fever, productive cough, and right-sided pleuritic pain. She was not in sickle cell crisis. Do the images here shed light on cause of symptoms?
A 17-year-old woman presents with a gradually increasing, asymptomatic “sore” on her lower lip. What’s your impression?

For 2 months, a 29-year-old man had pain and circular, soft swelling (7 x 7 cm in diameter) over the anterior left knee, superficial to the patellar ligament. Your dx?

A 76-year-old woman seeks your attention for an asymptomatic “red spot” on her neck. What does this look like to you?

A 27-year-old woman intermittently experiences painful oral lesions such as this one on her upper lip. Your impression?

A 17-year-old student can't fall asleep, can't wake up, and is falling behind in school. Which of the therapies suggested here do you think would help reset his diurnal rhythms?

This teen has had violaceous papules, petechiae, and healing ulcerations on the distal digits of both hands and feet for about a month this winter as well as intermittent shortness of breath since she moved to the northeast from the Caribbean. What's in your differential?

Shortly after he falls asleep, the child sits up in bed and shrieks, then cries and cannot be wakened when touched. His parents are very concerned. What do you suspect?



Which of the following extraintestinal manifestations of inflammatory bowel disease often parallels disease activity?


So many vaccine options available-trivalent, quadravalent, intradermal, high-dose, intranasal, “made” in egg, dog, or insect lines-so many ways to go wrong. Here, 2 cautionary tales.