
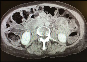
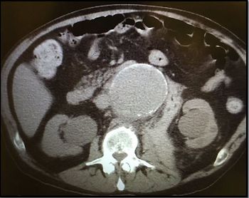
The 62-year-old describes lower abdominal “pressure” and using 2 pads/day; she reports a recent UTI. Review lab results and CT scan. What’s your diagnosis?

The 62-year-old describes lower abdominal “pressure” and using 2 pads/day; she reports a recent UTI. Review lab results and CT scan. What’s your diagnosis?

A 47 y/o woman with cirrhosis, HCV, and chronic pancreatitis requests Demerol for the worst abdominal pain she has ever had. What's your diagnosis?

The 32-year-old presents to the ED after 2 hours of acute nonpleuritic dyspnea--a first-ever episode. How would you proceed?

A 19-year-old previously healthy man presents with intermittent diarrhea, fever, and weight loss with pleuritic left-sided chest pain for 1 month. What does the chest x-ray show?

Other than sleep problems, this 52-year-old has no other medical history. What's your ECG read? Does the computer assessment agree?

The 82-year-old is observed to be in respiratory distress but denies any symptoms. See the ECG for more information. Your dx?

The 32-yr-old claims no medical history other than "thyroid surgery" and takes no medications. What does the ECG suggest?

Patient claims pruritic full-body rash is from a course of vancomycin. Is he correct? Could it be something else?

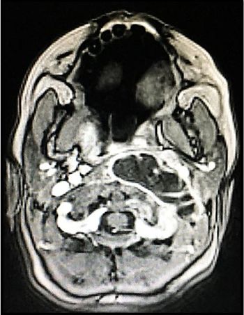
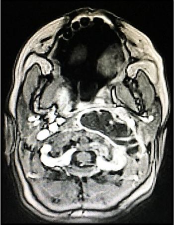
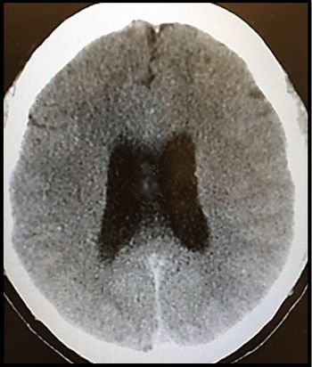
A 62-year-old man is transported to the ED after becoming incontinent in the middle of the night. He has a history of HCV. What do test results suggest?

ECG Challenge: A 32-year-old woman is brought by ambulance to the ED. She is having palpitations after consuming 2 energy drinks. What's your ECG read?

Patient is 54 y/o man; the cough has been present for 2 weeks, the rash on the lower extremities for 2 months; the rash is getting worse. What's your dx?

ECG Challenge: The patient is seen in the ED after a short-lived reprieve from vomiting. She faints during the ECG. What’s your read of the tracing?

Foot pain has been present for ~1 week but the rash was noticed just this morning. What's your diagnosis?

A 4-year-old girl is seen in the ED for low-grade fevers x2 weeks, headaches, neck stiffness. Lumbar puncture is recommended. Do you agree?

An 82-year-old woman presents with acute worsening of dyspnea, dry cough, and subjective fever and sudden onset of sweating. She denies chest pain. What's your ECG read?

A 2-year-old boy is seen for 2 days of cough, high fever, vomiting, and a rash. Is the rash location a clue to diagnosis?

Severe pain from a pinched nerve in his neck could have caused this 64-year-old man to fall to the floor from his bed - but he's not sure. Does the ECG offer a clue?

What does a common species of water fowl have in common with this finger injury?

A 21-year-old woman is taken to the ED from a night club by ambulance for a possible panic attack. What’s your ECG read?

Are this young woman’s chest pain and SOB a reaction to Levaquin, started a few days ago? She’s had a similar reaction to other antibiotics. Your Dx?

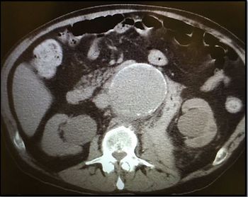
A 35 y/o woman presents with 3 wks lower abdominal pain that's worse with movement. Review exam, labs, CT scan. Your diagnosis?

A 38-year-old woman has had abdominal pain x4 days that worsens on hip flexion. Imaging, labs are inconclusive. But there was that urine culture ...

In the ED the patient says the shortness of breath began the night before after he took ibuprofen for a flare of back pain. Is there a connection?

Sudden onset of difficulty breathing, dry mouth, and stiff, swollen neck and throat. . . what diagnostic clue do the patient's socks offer, and what action should follow?

Simultaneous events can confuse a clinical picture. In this case, the ECG offers clues to an event that occurred during an episode of bronchitis.

She is in the ED for a fourth episode in 3 months. Before fainting she has palpitations and feels a sense of doom. Your ECG read?

A 34-year-old man with a history of HIV says family members are exaggerating his symptoms but that the headache and double vision are bothersome.

This 43-year-old man has known alcohol addiction but has never had post-withdrawal leg weakness. What tests would you order to Dx cause?

The chest pain is non-pleuritic, non-exertional, and is worse when the patient is supine. What is your read of the ECG?

Physical exam, including vitals, is normal although patient is tremulous. Blood sent for labs, so look for clues in the ECG.