
A man in his mid-60s presents after 1 month of intermittent fevers; recent blood cultures were positive for oral flora. Follow the ED course--can you make the diagnosis?

A man in his mid-60s presents after 1 month of intermittent fevers; recent blood cultures were positive for oral flora. Follow the ED course--can you make the diagnosis?

Persistent generalized weakness and decreased oral intake bring a man in his early 60s with hx of thyroid cancer to the ED. Do ECG and labs suggest a diagnosis?

A rash presumed to be a possible fungal or bacterial infection on the legs and feet of a 62-year-old man has failed to improve after 10 days of treatment. What's your Dx?

Intermittent pain causing the child to cry and an episode of bright red rectal bleeding are described by the mother. Review labs and imaging: What's your diagnosis?

A 20-something young man is in the ED after a fall off a scooter while doing tricks. What do you see on the x-ray? What type of injury is it?

A 32-year-old woman is seen in the ED with pain from an ankle injury sustained about 24 hours earlier. What does the x-ray show? How would you proceed?

A man in his 50s is seen in the emergency department for acute LUQ pain. Vital signs are normal and so are results of laboratory studies. What do you see on CT? What's your Dx?

The patient is a 52-year-old man and he has never had these symptoms before. Review lab results and CT findings. What's your diagnosis?

A woman in her 50s who has a history of tension headache presents to the ED with a headache different from any she has had. Mild photophobia is the only finding on physical exam. Your dx?

Gradually worsening weakness in the shoulders, neck, and face of 4-5 days' duration is the presenting complaint of a man in his 60s. ED physician Brady Pregerson, MD, asks, "What's your diagnosis?"

A man in his fifties presents with pain in a fingertip that has been getting increasingly worse. Notable on exam are a small scab on that finger and nail-bitten fingernails. Your Dx?

Fever is up to 103.5°F, joint pain is affecting lower extremities, bilaterally, and the patient complains of headache. Could sex have anything to do with it?

After being cleared by paramedics at the scene of an accident where he was struck in an intersection, a young man comes to the ED in pain and barely ambulatory.

A woman in her forties presents to the ED with 3 days of generalized malaise and worsening pain in the left buttock. What is seen on the CT? Your Dx?

The patient denies fever, SOB, vomiting or diarrhea. He does admit discomfort around the right scapula. What is evident on the CT? What is your diagnosis?

A woman in her 40s is seen in the ED for severe, recurrent pelvic pain. She is s/p endometrial ablation 8 months ago. What does the ultrasound show?

The patient is 42-years-old, G2P1 and presents with 1 week of vaginal spotting, 4 days of pelvic pain. Review the ultrasound and lab findings. What's your diagnosis?

Patient is a 70-year-old woman who presents with biceps pain for 3 days. History includes atrial fibrillation. What's your diagnosis?

Palpitations and syncope during dinner (him); arrhythmia that looks like SVT after 2 energy drinks (her). What do the ECGs tell you?

Patient's vital signs and results of physical examination are normal; results of a previous lumbar puncture also were normal. What does the chest x-ray reveal?

Computer-interpreted ECGs are part of SOP -- but the interpretation still needs confirmatin. See if your ECG read matches the machine in 2 cases from the ED.

The patient says the pain is worse with movement or coughing. He reports no nausea, vomiting, fever, diarrhea, or other complaints. What's your diagnosis?

A 66-y/o man presents with worsening generalized headache x2 days plus chills and dry cough. Initial concerns: encephalitis, influenza, URI, pneumonia? Your Dx?

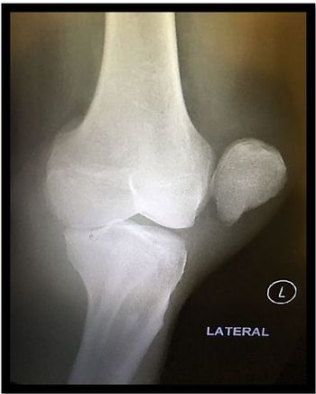
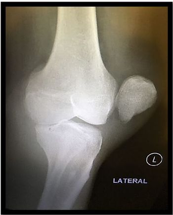
A 44-year-old man arrives at the ED via ambulance complaining of knee pain and inability to bend or fully straighten his left leg. He had been in a wrestling competition.

At first the patient's only complaint is dyspnea; 30 minutes later he is in cardiac arrest. What happened? What's your diagnosis?

Right-sided flank pain of 3h duration is the presenting complaint of a 32-year-old woman with no relevant medical history. She claims 1 episode of vomiting. What can you see on CT abdomen?

Pain has been present for 2 days; patient denies overuse or injury but says she has been jogging a little more than usual. What's your diagnosis?

The patient is 5-years-old without significant medical history. What is the differential diagnosis for a neck mass? What is your diagnosis?

A 65-year-old woman presents to the ED oriented only x2 and hearing her dead mother's voice. HCTZ is her only Rx. What's your diagnosis?

A 62-year-old man being treated for lymphoma is sent to the ED by his oncologist for evaluation of left ankle swelling. Is this DVT? What's your diagnosis?