
Next time you're stumped by a difficult presentation, ask, “Have you recently started any new medications or changed the dose of any of your old medications?”

Next time you're stumped by a difficult presentation, ask, “Have you recently started any new medications or changed the dose of any of your old medications?”

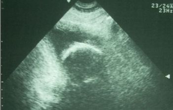
A 63-year-old man with hypospadias presents with ischuria x2 days but his bladder is barely enlarged. What do you see on the ultrasound?


An elderly man is found in an altered state in his home by the Meals-on-Wheels delivery driver. Does the ECG tracing hold clues to his SOC?



The 26-year-old patient has a history of type 1 diabetes; no other prior medical or surgical history. Antiemetics have failed. Can you Dx?

The patient also has pain when she laughs. Physical examination and lab results are all normal -- with one exception. Can you make the diagnosis?

Fitz-Hugh–Curtis syndrome is an infectious perihepatits that accounts for approximately 5% of pelvic inflammatory disease.

A 31-year-old woman presents with ongoing weakness and malaise and says her skin seems to be getting darker without exposure to the sun. Your Dx?

Hyperkalemia is often asymptomatic, but as the potassium level rises it may produce, fatigue, generalized muscle weakness, and paresthesias.

Despite his symptoms the patient says he is able to function and is otherwise healthy. What clues to his condition can you spot in his ECG?

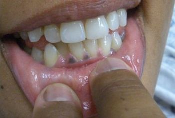
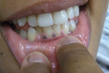
Weakness, nausea, abdominal pain, and a change in her skin color bring a nervous 31 y/o woman to see you. Your Dx?

She has had intermittent episodes of weakness and nausea for 6 months and is alarmed by the change in her skin color. What do her symptoms suggest to you?

Primary adrenal insufficiency or Addison’s disease, is the result of destruction of the adrenal cortex.

Cold symptoms that persisted for several weeks became ominous signs when the headache worsened and walking became difficult.

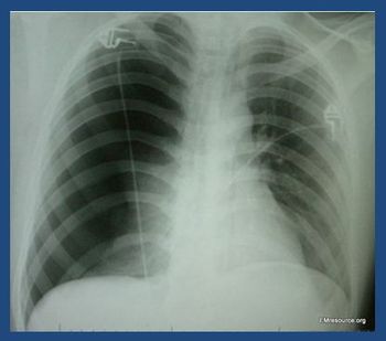
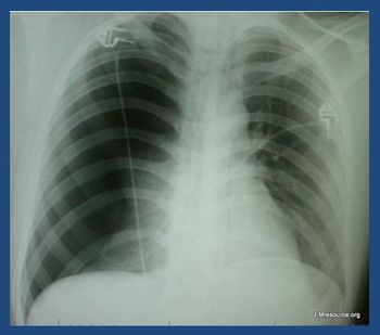
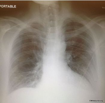
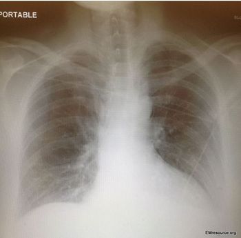
The patient reports the chest pain began 6 days ago during a vacation abroad. She denies any injury. What does the chest x-ray reveal?

Ankle injuries are extremely common but aren't always straightforward. Look at this patient's history and x-rays. What do you see?

The patient denies vertigo, hearing change, headache or ear pain. Physical exam and past medical history are benign. What does the brain MRI tell you?

Signs and symptoms may raise suspicion for a posterior circulation stroke.

The patient has had respiratory infections before but he has never experienced chest pain like this in the past. How would you work up this case?


This episode of pain and ecchymotic pigmentation is far more intense than those he's had in the past. Does the patient's history offer clues to etiology?

How would this 34-year-old man become exposed to levamisole?

The patient drove himself to the ED after experiencing symptoms while playing basketball. He has a history of anxiety, but is this more than a case of nerves over a missed foul shot?

Be alert for the pitfalls in ECG interpretation of ACS. An initial tracing can be normal in about 10% of cases, even during chest pain. Nonspecific changes occur in another 5% to 15% of cases.

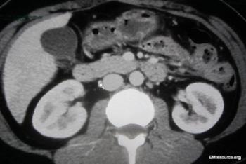
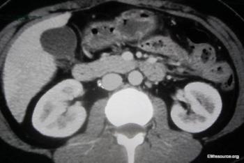
The patient has had 10 episodes of bleeding in the past 24 hours. Can you find clues to the underlying problem in the history and on the CT scan?


Two hours earlier the patient had vomited to dislodge food stuck in his throat. This had been effective in the past but had never produced blood. Chest and epigastric pain worsened when he lay down.
