
Allergic rhinitis and the “allergic triad,” allergy tests for children, allergic asthma, acute urticaria, a lipstick allergy, allergic contact dermatitis of the scalp-these images show a range of common allergic conditions.

Allergic rhinitis and the “allergic triad,” allergy tests for children, allergic asthma, acute urticaria, a lipstick allergy, allergic contact dermatitis of the scalp-these images show a range of common allergic conditions.

Pseudosac with ectopic pregnancy, palmar erythema, pemphigoid gestationis, abdominal wall hematoma, dermatomyositis, livedo reticularis-visual presentations of health problems that occur frequently, or exclusively, in women.

Polycystic ovary syndrome, “dermatoses of pregnancy,” systemic sclerosis, subacute cutaneous lupus erythematosus, gallbladder agenesis, sarcoidosis-a close look at medical problems seen frequently in women.

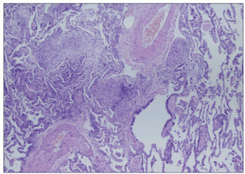
Drug-induced hypersensitivity pneumonitis, drug-induced organizing pneumonia, radiation-induced lung injury, allergic fungal rhinosinusitis, pulmonary tuberculosis, empyema-this week’s slide show sheds light on several presentations.

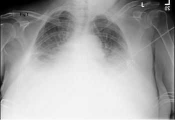
Pulmonary edema, tracheal stenosis, pulmonary embolism, pulmonary sarcoidosis, respiratory bronchiolitis interstitial lung disease, giant bullous emphysema-a close look at a variety of troublesome lung conditions.

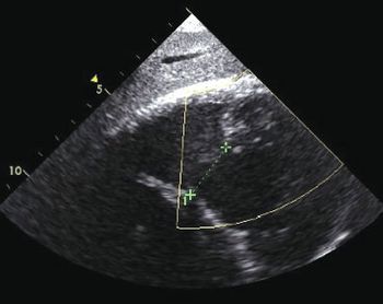
Myocarditis, postpericardiotomy syndrome, double aortic arch, heart-hand syndromes, stroke, cardiac valvulopathy, hemochromatosis, myocardial rupture-these visual presentations cover a range of heart diseases and related problems.

Bullous pemphigoid, varicose veins, dermatomyositis, myasthenia gravis, coma bullae, xerosis, atrophie blanche, Grover disease-a review of age-related clinical concerns and how to recognize them.

Polymorphic light eruption, phototoxicity, solar purpura, basal cell carcinoma, squamous cell carcinoma, keratoacanthoma, venous lakes, photosensitivity-a look at the many adverse effects of too much sun exposure.

Neuroarthropathy, mucormycosis, necrobiosis lipoidica, diabetic myonecrosis, hypertriglyceridemia, papillomatosis, perleche-these visual presentations cover a range of diabetes-related problems.

As the number of patients with HIV who are treated effectively continues to rise, so too will the number of these patients seen for routine primary care. Here, 6 studies to help PCPs offer optimal treatment for this population.

Hepatitis, measles, smallpox, polio, mumps, influenza, Fifth disease-a close look at the value of vaccination past, present, and future.

Neurofibromatosis, neuroretinitis, neurologic complications of Down syndrome, Lhermitte-Duclos disease, neurosarcoidosis-find insights here for defeating nervous system disorders.

Here: a close-up look at one cause of upper GI bleeds, as well as bezoars, stromal tumor, appendicolith, and Kaposi sarcoma.

Now close to 10% of Americans have this serious disease, according to the CDC, but many don’t even know they have it.

The use of insulin has grown in recent years largely because of the widespread adoption of analogs. Out-of-pocket expenditures per prescription also increased.

Ischemic colitis; eosinophilic esophagitis; Crohn disease; necrotizing pancreatitis; diverticulosis: close-up looks and helpful tips here.

Obesity increases the risk of heart disease, stroke, hypertension, diabetes, and cancer, and it is associated with an array of complications, as the following cases attest.

Meet patients’ facial skin problems head-on by gaining a familiarity with the common problems and symptoms. This week’s photo quiz offers a variety of presentations to test your prima facie knowledge.

Lyme disease and other tick-borne illnesses occur most often in the late spring and summer months, many with similar presentations, making this a good time to test your knowledge of these pesty posers.

Many skin disorders look alike, and psoriasis can be especially tough to diagnose. Take this photo quiz to test your knowledge of these similar syndromes.

The American Association of Diabetes Educators recommends these talking points.

Diagnosing and managing infectious diseases can be challenging. This week’s photo quiz offers a variety of presentations to test your acumen.

Back and neck complaints rank among the top reasons for visits to primary care physicians. Take this week’s photo quiz to test your knowledge of these sometimes mysterious disorders.

Mixed tocotrienols are effective in attenuating the progression of white matter lesions in humans, the results of a new study have shown.

Many medical problems are common to both men and women, but several occur more frequently in women. This week’s photo quiz tests your knowledge of a variety of these disorders.

Americans’ average daily sodium intake may be associated with better health outcomes than recommended intake levels.

Spring is here and brings with it the peak allergy season. Patients will present with a variety of allergic diseases, both seasonal and otherwise. This week’s photo quiz tests your knowledge of these disorders.

Patients frequently present with hand disorders, and the hands often show changes that reflect a disease that affects other parts of or the whole body. This week’s photo quiz offers several presentations to test your knowledge.

Pain affects more Americans than diabetes, heart disease, and cancer combined. It may be a part of a disease, or it may be the disease itself. Here, test your knowledge of this troubling diagnostic challenge.

As the incidence of malignant melanoma continues to rise, so does primary care physicians’ need to identify pigmented lesions for early detection. Take a look at these presentations to test your knowledge.