
A high burnout rate translates into even more physicians leaving practice, thus adding to an already critical shortage.

A high burnout rate translates into even more physicians leaving practice, thus adding to an already critical shortage.

Images: oral hairy leukoplakia, oroesophageal candidiasis, disseminated cryptococcosis, Stevens-Johnson syndrome, eosinophilic pustular folliculitis, prurigo nodularis.

Images: Horner syndrome, neurofibroma, sciatica, ulnar neuropathy, intradural extramedullary schwannoma (neurinoma), moyamoya syndrome and stroke.

The top men's health concerns include heart disease, cancer, accidents, and chronic lower respiratory diseases. This compact slide show provides visual presentations of other clinical problems that pose a threat to men and that might be seen in primary care practice.

The meeting's goals are to increase understanding and, perhaps, find a cure.

Organizations are intensifying efforts to control this disease, the number one risk factor for disability and death in the United States and worldwide.

Preseptal cellulitis, myasthenia gravis, squamous cell carcinoma, atheromatous embolism, calciphylaxis are shown here.

Lofgren syndrome, lumbar disk herniation, suppurative appendicitis with rupture, rotator cuff impingement syndrome, aortic dissection.

Recommendations consider the whole patient, the spectrum of risks and complications for the patient, and evidence-based approaches to treatment.

Sleep disorders are among the most common medical complaints. To better address the problem, the NSF has launched a comprehensive free online sleep disorders resource.

More than one-third of adults in the United States have high blood pressure, but close to half of them do not have it controlled. This compact slide show provides visual presentations of a range of related problems.

A call for intensified efforts to prevent and control hypertension is the theme of World Health Day 2013, observed this month to focus attention on reducing heart attacks and strokes.

More than 90% of patients with diabetes mellitus receive their care from primary care physicians. This compact slide show provides visual presentations of a range of DM-related problems.

Many common GI disorders are seen in the primary care setting. This compact slide show provides visual presentations of a range of these vexing problems.

Cardiovascular diseases here are patent foramen ovale, interatrial septal aneurysm, myocarditis, aoritis, internal carotid artery dissection, heart-hand syndrome.

Spinal problems include epidural abscess, paravertebral muscle atrophy, Chiari I malformation, osteomyelitis/discitis, diastematomyelia, spinal compression, spinal tuberculosis.

The Department of Health and Human Services Panel on Antiretroviral Guidelines for Adults and Adolescents has issued updates of its recommendations.

See clinical features of rheumatologic diseases including rheumatoid arthritis, systemic lupus erythematosus, dermatomyositis, psoriatic arthritis, scleroderma

The reduction in dementia is not simply the result of the drugs reducing their blood pressure.

This condition is a more important risk factor than previously thought and should not be taken lightly.

Images of allergic fungal rhinosinusitis, Wegener granulomatosis, interstitial lung disease, and other respiratory disorders show up in this photo essay.

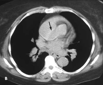
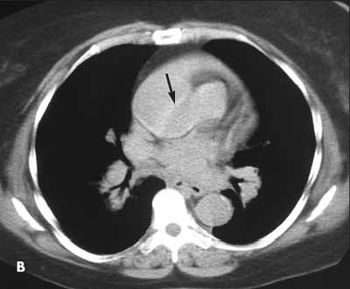
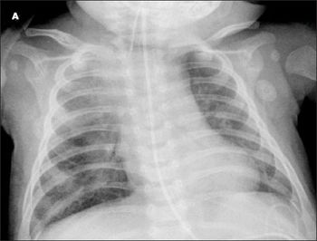
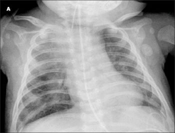
Acute bronchiolitis, COPD, giant bullous emphysema, hypersensitivity pneumonitis, and pulmonary tuberculosis may present diagnostic challenges.

Increased exposure to polycyclic aromatic hydrocarbons in air pollution is associated with certain immune system effects and asthma diagnosis, according to research reported the 2013 Annual Meeting of the American Academy of Allergy, Asthma & Immunology.

Edema of the hands has numerous etiologies: leukocytoclastic vasculitis, puffy hands from HCV infection, DVT, lymphedema, trauma

Nervous system disorders are common, but the symptoms often resemble those of other medical conditions, complicating the diagnosis.

Stigma correlated most strongly with inability to work and was greater for chronic migraine than for epilepsy or episodic migraine.

Treatment of women who have preeclampsia with continuous positive airway pressure therapy for mild sleep-disordered breathing reverses low fetal activity levels and may improve fetal outcomes.

The FDA’s recent recommendation that the bedtime dose be lowered came about because new data show that blood levels may be high enough the morning after use to impair activities that require alertness.

The relationship between sleep and exercise is the theme of this year’s National Sleep Foundation Sleep in America poll, an annual checkup on Americans’ sleep health practices.

Researchers concluded that psychological factors might contribute to the development of this disorder but not ulcerative colitis.