
In a recent study, both baseline and new multiple chronic conditions led to worse health in older patients.

In a recent study, both baseline and new multiple chronic conditions led to worse health in older patients.

Obesity, a health hazard in its own right, is linked with heart disease, diabetes, and a wide range of other clinical concerns. This week’s photo quiz offers a variety of presentations to test your diagnostic acumen.

Chronic pain affects more Americans than diabetes mellitus, heart disease, and cancer combined. Here are some facts and figures about pain for you to consider.

Opportunities to obtain the latest scientific knowledge and institute scientifically sound therapy to maintain the highest quality of patient care abound at the meeting.

A wide range of disorders show up in the feet, and patients often turn to their primary care physician to find the diagnosis. This week's photo quiz offers several presentations to test your knowledge.

There is not enough evidence to assess the benefit or harm, according to an update from the U S Preventive Services Task Force.

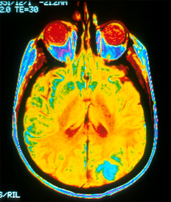
Neurological disorders have been considered a significant threat to public health for some time. Take a look at these facts and figures.

Some of the signs of infection are pathognomonic, but not many, so careful patient evaluation often is needed. This week's photo quiz offers a variety of presentations to test your diagnostic acumen.

Early identification of childhood disorders is essential for achieving the best possible outcomes. This week’s photo quiz tests your ability to recognize some of the possible presentations.

Patients often present with skin lesions that are suggestive of skin cancer. Is it or isn’t it? This week’s photo quiz tests your knowledge of several possible cancerous presentations.

Collectively, sleep problems are more than a concern, they now constitute an epidemic. Consider these 10 facts and figures.

Finger disorders may be caused by an injury or may result from another disorder, and it’s often hard to tell what happened. This week’s photo quiz tests your ability to recognize a variety of common problems.

Schools of thought on their relative value differ greatly. Fortify your knowledge of the pros and cons with this baker’s dozen of facts and figures.

A large-scale hypertension program was associated with a significant increase in hypertension control compared with state and national control rates, according to a recent JAMA study.

Rashes, like children, come in all shapes and sizes, and they have a variety of causes, ranging from infection to allergic reaction. This week’s photo quiz tests your knowledge of skin conditions in younger patients.

A new regulation provides a uniform standard definition to help patients who have celiac disease, up to 3 million Americans.

Respiratory symptoms are a major reason why outpatients seek medical care, and primary care physicians who treat children frequently see pneumonia. This week’s photo essay tests your knowledge of respiratory problems in kids.

Becoming familiar with recent developments in managing “the king of diseases and the disease of kings” may help.

To gain a better understanding of this national and global epidemic and its impact, consider these key facts and figures.

The eyes may be "windows to the soul," but they also provide a look at your patients’ overall health and clues to specific disorders. This week’s photo essay will test your ability to identify eye-related problems.

Creatures of all kinds can get under your patients’ skin and cause problems, and the results sometimes are mistaken for other types of lesions. This week’s photo essay will test your ability to identify various kinds of diagnoses.

Identification of infections often presents a major challenge because there may be significant overlap in clinical findings. This week's photo essay takes the form of a quiz to test your ability to meet the challenge and hone your diagnostic skills.

The goal is better developing the necessary skills for evaluating and managing patients who have persistent pain.

Clinicians’ understanding of pain and their pain management skills vary widely because there is no educational framework.

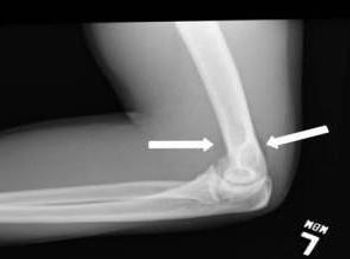
Images of Achilles tendon injuries, rotator cuff tears, FOOSH (fall on outstretched hand) injury, superficial abrasion, Lisfranc joint injury, and avulsion fracture.

Images of guttate hypomelanosis, jellyfish sting, basal cell carcinoma, cercarial dermatitis (swimmer’s itch), epidermal growth factor receptor inhibitor photosensitivity (sunburn), seabather’s eruption, and squamous cell carcinoma.

Screening is advised for persons at high risk for infection along with one-time screening for all adults born between 1945 and 1965.

Images of acute allergic contact dermatitis, Lyme disease, southern tick–associated rash illness, tick-borne babesiosis, Rocky Mountain spotted fever, and brown recluse spider bites.

Images of guttate, small-plaque, and chronic plaque psoriasis; systemic lupus erythematosus; pityriasis rubra pilaris; and secondary syphilis.

Awareness of this major health problem is on the rise, as evidenced by numerous recent reports about important new study findings.