
Resistance-associated variants limit the activity of some drugs, but HIV infection treatment may offer some guidance.

Resistance-associated variants limit the activity of some drugs, but HIV infection treatment may offer some guidance.

Some patients may not even understand exactly what is meant by "exercise." How do you promote physical activity in your practice?

Severe outcomes may ensue in a high percentage of patients. The authors discuss the consequences in this brief podcast.

The “modern era” of treatment features multiple DAAs that target specific steps within the HCV life cycle.

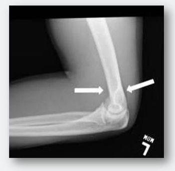
Outdoor recreation is in full swing again. Here are 5 injuries you may need to identify, soon. What are they?

Take this quick quiz to test your knowledge of crying, fussing, and colic in infants.

State Medicaid programs and private insurance companies have balked at providing these drugs to their insured customers. But the tide is turning.

Testing is recommended for the persons who are more likely to have the virus but not know it.

American College of Physicians leaders call for steady opposition to the administration's proposed replacement of the Affordable Care Act.

What's normal and what's not when infants cry? Key findings of a new study are summarized in these slides.

Patients can be identified at earlier stages of disease, before serious liver damage, and have improved clinical outcomes.

Knowing the origin and causes could help clinicians better determine who to screen and treat.

Primary care physicians can play an expanding role in achieving the benefits of testing, care, and treatment to help stem the epidemic.

Our short quiz tests your basic allergy IQ as well as what you might not know about emerging therapy.

Use this short test to gauge how much you’ve learned about a condition that needs more primary care involvement.

Preventing further acute attacks and decreasing the tophi burden becomes a secondary goal.

Primary care can do more to help reduce gout morbidity, says a new review-plus 4 more studies on gout treatment and prevention.


A young cardiology fellow reveals in a letter to his patients that it was being privy to their vulnerability that allowed him access to his own.

The faster the attack is recognized and treated with medications, the easier it is to control.