
Young men who have participated in sports at a high level have reduced disturbances in glucose regulation later in life, and the prevalence of type 2 DM is lower.

Young men who have participated in sports at a high level have reduced disturbances in glucose regulation later in life, and the prevalence of type 2 DM is lower.

Radiographically occult wrist fractures, polypharmacy, invasive infection and hepatocellular carcinoma in HIV-infected patients. . . . here: a variety of subjects for you to test your clinical range.

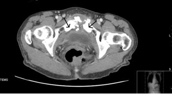
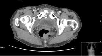
Presenting complaints were fever, nausea, and lower abdominal pain that worsened with walking. Osteomyelitis is not commonly included in a differential for abdominal pain. This case is different.

Alpine skiing, snowboarding, bobsledding, ice hockey … the ongoing Winter Olympics in Sochi serve as a cold reminder that injuries plague athletes around the world. Test your knowledge of common sports injuries here.

This 20-year-old woman has one blue and one brown iris. To what genetic disorder might this finding point?

Rising medication use and polypharmacy, along with physiological changes in older patients, greatly increase their risk of medication-related problems and adverse events.

Test your radiographic skills with this emergency medicine case. Can you spot the injury? Is there more here than initially meets the eye?

Many older adults have several related medical problems that have various causes and involve many parts of the body, complicating patient care. This week’s photo quiz offers some common geriatric presentations to test your knowledge.


California has introduced legislation that would require cigarette-package-type warnings on containers of sugary soda. Tell us what you think about the move.
A 17-year-old woman presents with a gradually increasing, asymptomatic “sore” on her lower lip. What’s your impression?

At-hand reminders to check blood sugar or refill a prescription may be just what the doctor needs to order.

There are no guidelines on how to differentiate iatrogenic opioid abuse triggered by treatment for legitimate pain from illicit use. And yet, theories abound.


For 2 months, a 29-year-old man had pain and circular, soft swelling (7 x 7 cm in diameter) over the anterior left knee, superficial to the patellar ligament. Your dx?

Physical activity significantly extends the lives of men who have survived cancer, according to the results of a new study.

Bone problems run the gamut from low bone density and osteoporosis to sports and exercise injuries to congenital disorders. Take this week’s photo quiz to test your knowledge of bone disease and related concerns.

There are currently 3 sets of guidelines that outline the management of thyroid nodules. A case in point here.

Would you biopsy a 1-cm mobile nodule in the thyroid area of this 55-year-old woman who had mantle field radiation for a childhood cancer?

HIV-positive status no longer equates with emaciation. In fact, if anything, patients are more likely to be over- than under-weight, and this can affect the success of their treatments. Here, some guidance for clinicians on how to address the issue.